Skip to content Skip to sidebar Skip to footer

Permanent Teeth Growing Behind Baby Teeth

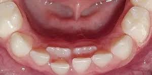
Does Your Child Have A Double Row Of Shark Teeth Learn More Here

Does Your Child Have A Double Row Of Shark Teeth Learn More Here

Permanent teeth growing behind baby teeth. All permanent teeth except wisdom teeth should erupt by the age of 12 or 13. When a child gets to age 5 or 6 these teeth start falling out one by one. For the next three months there will be no noticeable changes.

If there are any baby teeth left let your vet know so it can be removed. After five months permanent teeth will start coming in usually canines and molars first. Puppies develop and lose this set of baby teeth just like humans do.

Tooth decay can begin as soon as teeth emerge in an infants mouth. The little ligaments that hold the tooth roots to the gum cant grow back if the calculus is still there. They also hold space in the jaws for permanent teeth that are growing under the gums.

Easy to use teeth whitener brushes on like toothpaste and whitens your teeth without chemicals. They help him or her chew speak and smile. Whether the impacted tooth is removed manually or not the tooth needs to come out eventually for the adult teeth to grow.

Dental anatomy is a field of anatomy dedicated to the study of human tooth structures. Clapping both hands behind their backs waving a magic wand Put the exercises together to make a simple routine. Discuss how it feels to lose a tooth.

The dentist wants to remove my 4 wisdom teeth because one of them is too close to the nerve and the other are not really in a good direccion growing. These teeth sometimes known as milk teeth or needle teeth and referred to as deciduous teeth by vets eventually give way to permanent adult teeth. Something that helped me was to sleep with a double pillow this improved that I had vertigo only once a year but lately when I turn left to right in bed for a few seconds I have a little.

Treating Impacted Baby Teeth. Most pups will have 42.

Permanent Teeth Coming In Behind Baby Teeth

Permanent Teeth Coming In Behind Baby Teeth

The Adult Tooth Is Growing In Behind The Baby Tooth What Should I Do Playtime Pediatric Dentistry

The Adult Tooth Is Growing In Behind The Baby Tooth What Should I Do Playtime Pediatric Dentistry

Shark Teeth Permanent Teeth Erupt When Baby Teeth Are Still Present

Shark Teeth Permanent Teeth Erupt When Baby Teeth Are Still Present

What Should You Do If Permanent Teeth Grow In Behind Baby Teeth All Pro Dental

What Should You Do If Permanent Teeth Grow In Behind Baby Teeth All Pro Dental

Shark Teeth Pediatric Dentist Portland Great Grins For Kids

Shark Teeth Pediatric Dentist Portland Great Grins For Kids

Watch For These Developing Bite Problems With Your Child S Teeth Little Harpeth Children S Dentistry

Watch For These Developing Bite Problems With Your Child S Teeth Little Harpeth Children S Dentistry

The Adult Tooth Is Growing In Behind The Baby Tooth What Should I Do Playtime Pediatric Dentistry

The Adult Tooth Is Growing In Behind The Baby Tooth What Should I Do Playtime Pediatric Dentistry

Adult Permanent Teeth Coming In Behind Baby Teeth Shark Teeth Oral Answers

Adult Permanent Teeth Coming In Behind Baby Teeth Shark Teeth Oral Answers

Adult Permanent Teeth Coming In Front Of The Child S Baby Teeth Shark Teeth Stock Photo Image Of Children Change 136771186

Adult Permanent Teeth Coming In Front Of The Child S Baby Teeth Shark Teeth Stock Photo Image Of Children Change 136771186

Two Sets Of Teeth Wisdom Baby Permanent Treasured Smiles

Two Sets Of Teeth Wisdom Baby Permanent Treasured Smiles

Casa Smiles

Casa Smiles

Help My Child Has Shark Teeth Pediatric Dental Blog

Help My Child Has Shark Teeth Pediatric Dental Blog

Shark Teeth When Should You Worry Dentistry For Children

Shark Teeth When Should You Worry Dentistry For Children

Permanent Teeth Growing In Behind Your Child S Baby Teeth

Permanent Teeth Growing In Behind Your Child S Baby Teeth

Permanent Teeth Growing In Behind Your Child S Baby Teeth

Permanent Teeth Growing In Behind Your Child S Baby Teeth

Can A Tooth Grow Behind Another Tooth Dr Raju Srinivas Youtube

Can A Tooth Grow Behind Another Tooth Dr Raju Srinivas Youtube

Dental Faq Pediatric Dentist

Dental Faq Pediatric Dentist

Adult Permanent Teeth Coming In Front Of The Child S Baby Teeth Shark Teeth Stock Image Image Of Finger Health 136417719

Adult Permanent Teeth Coming In Front Of The Child S Baby Teeth Shark Teeth Stock Image Image Of Finger Health 136417719

The Adult Tooth Is Growing In Behind The Baby Tooth What Should I Do Playtime Pediatric Dentistry

The Adult Tooth Is Growing In Behind The Baby Tooth What Should I Do Playtime Pediatric Dentistry

Why Does My Child Have Adult Teeth Coming In Behind The Baby Teeth Innovator Avenue Dental

Why Does My Child Have Adult Teeth Coming In Behind The Baby Teeth Innovator Avenue Dental

Adult Teeth Growing Behind Baby Teeth I Actually Had Something Like This When I Was Growing Up R Makemesuffer

Adult Teeth Growing Behind Baby Teeth I Actually Had Something Like This When I Was Growing Up R Makemesuffer

Hyperdontia Symptoms Causes Treatment And More

Hyperdontia Symptoms Causes Treatment And More

When Are Extractions Necessary With Overcrowded Teeth

When Are Extractions Necessary With Overcrowded Teeth

3

3

Are Red Spots On My Baby S Gums Normal Ask The Dentist

Are Red Spots On My Baby S Gums Normal Ask The Dentist

Pediatric Dentistry Permanent Teeth Coming In Behind Baby Teeth

Pediatric Dentistry Permanent Teeth Coming In Behind Baby Teeth

Curious Kids My Tooth Fell Out Why Is It So Spiky On The Bottom

Curious Kids My Tooth Fell Out Why Is It So Spiky On The Bottom

Why Does My Child Have Two Rows Of Teeth

Why Does My Child Have Two Rows Of Teeth

Faq What If There Are Two Teeth Growing In One Spot Discovery Pediatric Dentistry

Faq What If There Are Two Teeth Growing In One Spot Discovery Pediatric Dentistry

Baby Teeth Pediatric Dentistry In Allen Tx Space Maintainer

Baby Teeth Pediatric Dentistry In Allen Tx Space Maintainer

Permanent Tooth Coming In Behind Baby Tooth Babycenter

Permanent Tooth Coming In Behind Baby Tooth Babycenter

Are My Child S Permanent Teeth Growing In Wrong

Are My Child S Permanent Teeth Growing In Wrong

Baby Teeth Stages Development There Is A Lot Of Variation In The Normal Youtube

Baby Teeth Stages Development There Is A Lot Of Variation In The Normal Youtube

Baby Teeth Faq Dentistry For The Entire Family Fridley Mn

Baby Teeth Faq Dentistry For The Entire Family Fridley Mn

Eruption Of A Adult Tooth Dr Nilesh Salgar D D S Kirkland Que Blog

Eruption Of A Adult Tooth Dr Nilesh Salgar D D S Kirkland Que Blog

When Do Kids Get Their Permanent Teeth Learn More

When Do Kids Get Their Permanent Teeth Learn More

Permanent Tooth Eruption In Children Frisco Kid S Dentistry

Permanent Tooth Eruption In Children Frisco Kid S Dentistry

What Are Shark Teeth In Kids Kids Teeth

What Are Shark Teeth In Kids Kids Teeth

What Happens When An Adult Tooth Comes In Behind A Baby Tooth

What Happens When An Adult Tooth Comes In Behind A Baby Tooth

Permanent Teeth Behind Baby Teeth Youtube

Permanent Teeth Behind Baby Teeth Youtube

Adult Teeth Coming In Behind Baby Teeth Tooth Fairy Smiles

Adult Teeth Coming In Behind Baby Teeth Tooth Fairy Smiles

Faq What If There Are Two Teeth Growing In One Spot Discovery Pediatric Dentistry

Faq What If There Are Two Teeth Growing In One Spot Discovery Pediatric Dentistry

What Happens When Your Baby Teeth Fall Out Too Early Carifree

What Happens When Your Baby Teeth Fall Out Too Early Carifree

Curious Kids Why Do We Lose Our Baby Teeth

Curious Kids Why Do We Lose Our Baby Teeth

What To Do If You Have A Permanent Tooth Growing In Front Of A Baby Tooth Boise Family Dental Care

What To Do If You Have A Permanent Tooth Growing In Front Of A Baby Tooth Boise Family Dental Care

What Happens When The Adult Teeth Come In Behind The Baby Teeth Kids Dentist In Walla Wallakids Dentist In Walla Walla

What Happens When The Adult Teeth Come In Behind The Baby Teeth Kids Dentist In Walla Wallakids Dentist In Walla Walla

Keeping My Baby 39 S First Tooth

Keeping My Baby 39 S First Tooth

Pin On Health Dental

Pin On Health Dental

Extra Teeth Growing In Gums

Extra Teeth Growing In Gums

All permanent teeth except wisdom teeth should erupt by the age of 12 or 13.

For the next three months there will be no noticeable changes. Whether the impacted tooth is removed manually or not the tooth needs to come out eventually for the adult teeth to grow. Slowly the permanent teeth grow in and take the place of the primary teeth. First a set of 20 baby teeth erupts and falls out. Hyperdontia is the condition of having supernumerary teeth or teeth that appear in addition to the regular number of teeth 32 in the average adult. Dreams about teeth falling out are very common and while dream interpretations are highly subjective it could mean that you are feeling extra stressed in your life. Something that helped me was to sleep with a double pillow this improved that I had vertigo only once a year but lately when I turn left to right in bed for a few seconds I have a little. These baby teeth last up to 6 or 7 years when the first permanent tooth starts to appear that is the permanent first molar appearing behind all these teeth meaning this particular molar has no baby tooth before it and therefore will come in without another tooth falling out. When a child gets to age 5 or 6 these teeth start falling out one by one.


Dreams about teeth falling out are very common and while dream interpretations are highly subjective it could mean that you are feeling extra stressed in your life. Teeth Art Activity Art. Clapping both hands behind their backs waving a magic wand Put the exercises together to make a simple routine. Wisdom teeth are the third and final set of molars that most people get in their late teens or early twenties. After five months permanent teeth will start coming in usually canines and molars first. The function of teeth as they contact one another falls elsewhere under dental occlusionTooth formation begins before birth and the teeths eventual morphology is dictated during this time. When do permanent teeth come in.

Post a Comment for "Permanent Teeth Growing Behind Baby Teeth"